Logo Image1 Image2
1330 S. Orlando Avenue Winter Park, FL 32789 Office (407) 629-4077 Fax (407) 629-4431 ChristineNguyen32789@Yahoo.com
Horizontal
Home
Schedule Appointment
Services
Before and After
Our Office
Special Offers
Survey of Office
Finance Options
Contact Us
Vertical
Invisalign
* The Clear Alternative to Braces
* Virtually invisible, removable for eating and cleaning your teeth
* You may be a candidate for invisalign today
* Contact us for a Free Consultation

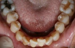
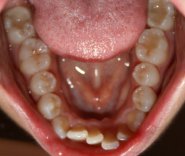
** All work and photography by Dr. Nguyen **
Invisalign Upper Before Invisalign Upper After
Invisalign Bottom Before Invisalign Bottom After
Invisalign Upper Before Invisalign Upper After
Invisalign Bottom Before Invisalign Bottom After